La radiographie dite « standard » reste dans de très nombreuses situations médicales, un examen de première intention, parfois associée à l'échographie, avant réalisation de toute imagerie en coupes plus complexe type scanner ou IRM.

L'extrême variété des types de radiographies standards nous conduit à détailler les modalités spécifiques à chaque examen. Nous précisons préalablement les points communs à toutes ces explorations.
Différent type de radiographie :
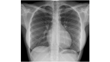
- Radiologie de thorax
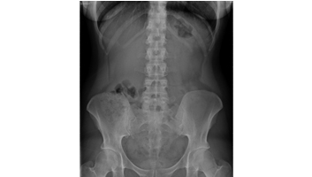
- Rx de l’abdomen : ASP/AUSP
- Rx du rachis
- Rx des os et des articulations
- Rx du crâne
- Rx digestif : grêle

- Rx digestif : lavement baryte
- Rx Transit Oeso-gastro-duodénal
- Radiologie: Hystérosalpingographie
- Radiologie : Urographie IntraVeineuse (UIV)
- Radiologie : Uro-Cystographie Retrograde (UCR)
- Fistulographie.






