A mi-chemin entre le panoramique dentaire et le scanner, le cone beam crée une petite révolution dans le domaine de l’imagerie médicale. Cet appareil offre notamment de nouvelles opportunités en matière d’examen dentaire mais reste encore peu connu du public. Un petit tour d’horizon s’impose pour faire la lumière sur les spécificités de cette technique.

Le cone beam : qu’est-ce que c’est ?
Le cone beam (ou CBCT) est une nouvelle technique de radiographie numérisée apparue vers la fin des années 90. Comme son nom l’indique, il utilise un faisceau d’irradiation de forme conique. Cet appareil présente notamment l’avantage d’être plus précis que le panoramique dentaire en offrant une résolution similaire, voire supérieure à celle du scanner, avec en plus la possibilité d’une reconstitution numérique en 3D.
Autre avantage, le cone beam apporte des indications plus détaillées sur les petites structures osseuses, difficiles à visualiser au scanner. Et à l’inverse de celui-ci, il permet de balayer en un seul passage l’ensemble du volume à radiographier, en étant en outre moins irradiant. Il offre par ailleurs la possibilité de localiser le champ d’examen sur la zone à étudier (quelques dents, une mâchoire), ce qui permet d’éviter d’irradier inutilement les autres parties du crâne.
A quoi sert le cone beam ?
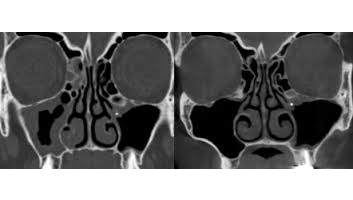
Les applications du cone beam sont nombreuses allant de la chirurgie buccale à l’orthopédie (poignets…) en passant par l’orthodontie, la chirurgie maxillo-faciale et l’ORL. Bien qu’il soit plus pratiqué pour l’examen des sinus, il est de plus en plus utilisé en médecine dentaire. Etant plus indiqué pour l’examen des tissus minéralisés (dents, cartilages, os), il permet d’identifier les lésions osseuses, les fractures, les infections, les kystes ou les corps étrangers.
Autrement, du fait de la précision qu’il apporte, le cone beam reste un examen de choix en implantologie. Il permet d’évaluer au plus juste le volume osseux et la position des structures anatomiques délicates comme les nerfs en vue de la pose d’implants. La modélisation en 3D permet en outre de choisir la taille et la forme des implants proportionnellement à la morphologie du patient et de simuler leurs emplacements virtuellement.
Le cone beam est enfin préconisé dans les cas suivants :
- Pathologies infectieuses
- Pathologies du parodonte
- Pathologies osseuses
- Kystes
- Pathologie des sinus maxillaires
- Pathologies tumorales
- Dents incluses
- Implants dentaires
- Pathologie de l’ATM (articulation temporo-mandibulaire)
Séance-type d’un cone beam dentaire
Aucune préparation n’est nécessaire. La séance est simple et rapide. Elle est à peu près similaire à celle d’une radiographie dentaire classique. Votre tête est installée dans l’appareil et maintenue par un système de contention. Une pièce en plastique sera placée entre vos dents de manière à ce que vous mâchoires soient légèrement écartées. L’acquisition du cliché dure environ 10 à 20 secondes durant lesquelles vous devez rester immobile.


